
- Home
- /
- OMG: महिला को हमेशा...
OMG: महिला को हमेशा रहता था छाती में दर्द, इलाज कराने गई तो फेफड़े से निकला Condom, मचा हड़कंप

OMG: महिला को हमेशा रहता था छाती में दर्द, इलाज कराने गई तो फेफड़े से निकला Condom, मचा हड़कंप
नई दिल्ली (NEW DELHI) : एक महिला जो पेशे से शिक्षक थी. स्कूल में पढ़ाते वक़्त या घर में आराम करते समय अक्सर उसे खासी, बलगम, छींक आया करती थी. जिससे वो परेशान होकर हमेशा डॉक्टर के पास जाती थी. लेकिन उसे राहत नहीं मिलती थी.

बढ़ती गई बीमारी
महिला शिक्षक को अक्सर छाती में भी दर्द होता था. जिस कारण उसे बहुत ज्यादा परेशानियों का सामना करना पड़ता था. डॉक्टर के पास पहुंचने के बाद जब उसने अपनी पीड़ा डॉक्टर की बताई तो डॉक्टर ने सोचा कही इसको टीवी (TV) की शिकायत तो नहीं है.

जाँच में पाया गया ये
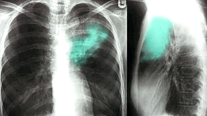
डॉक्टर ने महिला को टीवी की बीमारी मानकर जब जाँच शुरू की तो महिला की रिपोर्ट हमेशा निगेटिव आती थी. जिससे डॉक्टर भी चौक जाते थे की आखिर महिला को हुआ क्या है. ऐसे में डॉक्टरों ने महिला के फेफड़े का एक्सरे कराया और पाया की महिला के दाहिने ओर सूजन है. इसके बाद डॉक्टर को एक्सरे में कुछ बैग टाइप का दिखाई दिया। जिसे देखकर डॉक्टर भी चौक गए.

पति ने स्वीकारा
डॉक्टरों ने महिला का ऑपरेशन करने का निर्णय लिया और पाया की महिला के अंदर कंडोम (Condom) था. जिसे देखकर डॉक्टर खुद दंग रह गए. डॉक्टरों ने जब इस बारे में पति-पत्नी से पुछा तो उन्होंने स्वीकार किया की मुँहमैथुन के दौरान कंडोम महिला के मुँह से अंदर चला गया था. जिसके बाद उन्होंने शर्म के मारे किसी को नहीं बताया जबकि उन्हें सब पता था.

डॉक्टर करेंगे फिर से ऑपरेशन
डॉक्टरों ने बताया की कंडोम ज्यादा दिन तक छाती में रहने के कारण आंत में पिघलकर चिपक गए है. जिसे बारीकियों से निकालना पड़ेगा।





